1977
MS und NMOSD: Diagnose im Check
Kleine Unterschiede mit großen Folgen
Die NMOSD galt lange Zeit als Unterform der Multiplen Sklerose (MS). Beide Autoimmunerkrankungen betreffen das Gehirn und das Rückenmark und weisen viele klinische Gemeinsamkeiten auf. Verwechslungen beider Erkrankungen und Fehldiagnosen kommen daher gehäuft vor. Denn die Differentialdiagnose zwischen MS und NMOSD ist aufgrund der ähnlichen klinischen Symptome und ähnlicher MRT-Befunde nicht immer ganz einfach. Die folgenden beiden Kasuistiken zeigen entweder die Symptome einer MS oder einer NMOSD.
Welche Diagnosen ordnen Sie den Fallbeispielen zu?
Die nachfolgenden Fallbeispiele stammen aus einem Vortrag von Prof. Dr. med. Ingo Kleiter, Ärztlicher Leiter und Geschäftsführer in der Marianne-Strauß-Klinik, Berg, im Rahmen einer Fortbildungsveranstaltung.
Fall 1
55-jährige Patientin mit rasch progredienter Hemiparese rechts, keine Besserung auf Steroide
Retrobulbärneuritis (RBN)
1978
2. Schub, Diagnose schubförmige MS (RRMS), 1−2 Schübe/Jahr
1991−08/2003
Azathioprin, 0−1 Schübe/Jahr
08/2003−01/2005
Interferon beta-1a 3x22 µg
01/2005−04/2008
Interferon beta-1a 3x44 µg, weitere Schübe, meist RBN
07/2008−02/2009
Natalizumab (8 Infusionen, Start EDSS 3.5), hierunter 1x RBN
1977
1978
1991−08/2003
08/2003−01/2005
01/2005−04/2008
07/2008−02/2009
Retrobulbärneuritis (RBN)
2. Schub, Diagnose schubförmige MS (RRMS), 1−2 Schübe/Jahr
Azathioprin, 0−1 Schübe/Jahr
Interferon beta-1a 3x22 µg
Interferon beta-1a 3x44 µg, weitere Schübe, meist RBN
Natalizumab (8 Infusionen, Start EDSS 3.5), hierunter 1x RBN
1977
1978
1991−08/2003
08/2003−01/2005
01/2005−04/2008
07/2008−02/2009
Retrobulbärneuritis (RBN)
2. Schub, Diagnose schubförmige MS (RRMS), 1−2 Schübe/Jahr
Azathioprin, 0−1 Schübe/Jahr
Interferon beta-1a 3x22 µg
Interferon beta-1a 3x44 µg, weitere Schübe, meist RBN
Natalizumab (8 Infusionen, Start EDSS 3.5), hierunter 1x RBN
1977
1978
1991−08/2003
08/2003−01/2005
01/2005−04/2008
07/2008−02/2009
Retrobulbärneuritis (RBN)
2. Schub, Diagnose schubförmige MS (RRMS), 1−2 Schübe/Jahr
Azathioprin, 0−1 Schübe/Jahr
Interferon beta-1a 3x22 µg
Interferon beta-1a 3x44 µg, weitere Schübe, meist RBN
Natalizumab (8 Infusionen, Start EDSS 3.5), hierunter 1x RBN
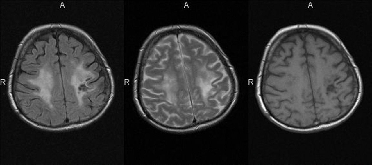
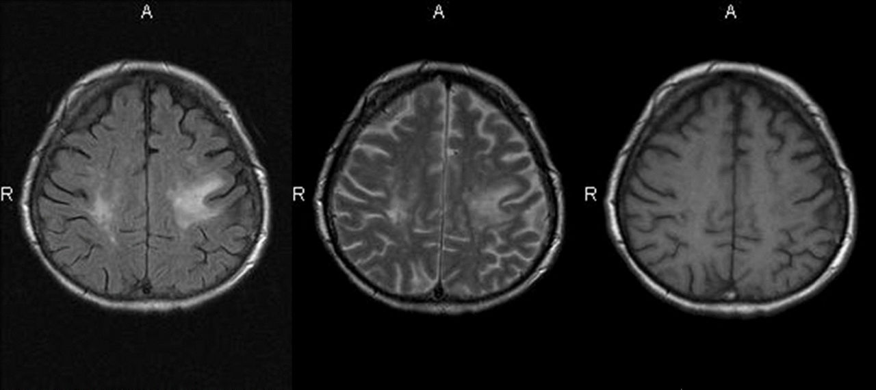
Abb. 1: Bei Vorstellung großflächige Läsion
- Liquor: JC-Virus-PCR neg. (+ Virus-Serologie) ZZ 0
- IgG ↑
- Bei Verdacht auf Natalizumab-assoziierte PML*
- Therapie: 5 Zyklen Plasmapherese
* Die progressive multifokale Leukenzephalopathie (PML) ist eine selten auftretende Gehirninfektion, die durch das JC-Virus verursacht wird.
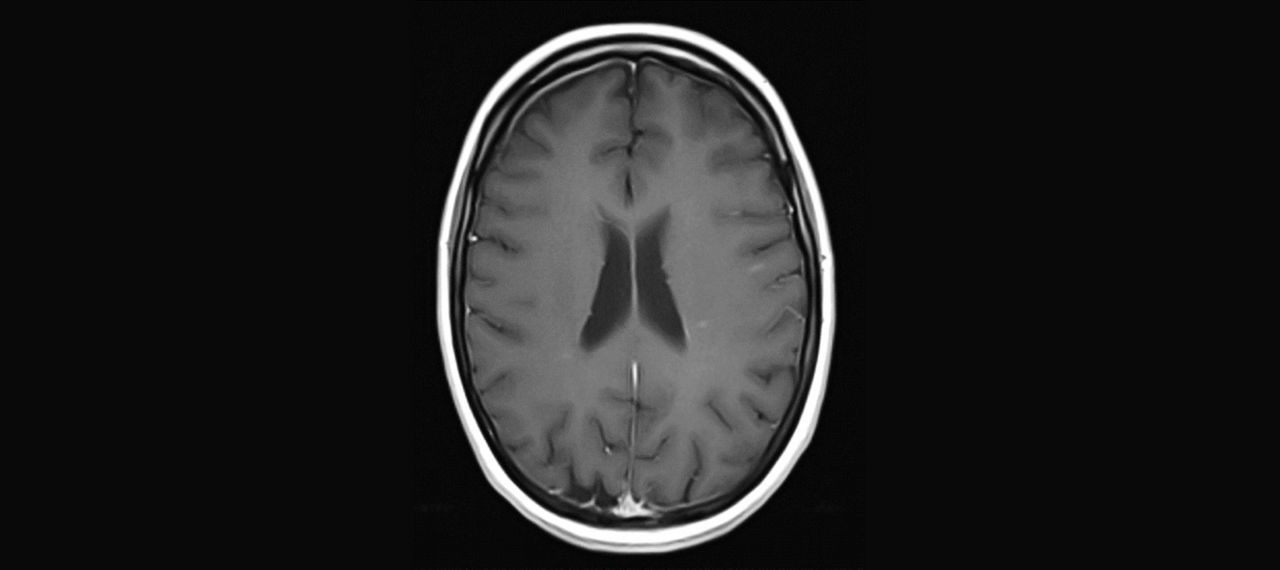
Abb. 2: Leichte Besserung
Abb. 3: Nach 2 Monaten: Ausweitung der flächigen Läsionen mit zystischen Anteilen
- Schwere Encephalopathie
- Amaurose beidseitig
- Weiterhin Verdacht auf PML
Liquor:
- JC-Virus-PCR neg.
- ZZ 51/µl, IgG↑, IgM↑, Laktat
- aktivierte Lymphozyten, Plasmazellen
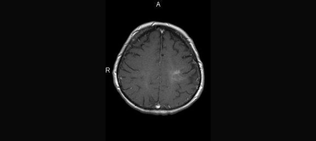
Abb. 4: Nach 2 Monaten
Abb. 5: Nach 2 Monaten; perlschnurartige kontrastmittelaufnehmende Herde über das gesamte Myelon
Verdacht auf opportunistische Enzephalitis (ohne Erregernachweis)
- Antibiotische + virostatische Therapie (u. a. Ceftriaxon, Ampicillin und Aciclovir)
- Levetiracetam bei symptomatischer Epilepsie
- Weiterer Steroidstoß, da spinal multiple Kontrastmittel-positive Herde
Abb.6: 4 Monate nach Vorstellung: Zunahme der flächigen Marklage-Läsionen und der zystischen Defekte
- Amaurose residual verblieben
- Plegie rechter Arm
- Hochgradige Parese rechtes Bein
- EDSS 8.5
Frage nach Diagnose:
- opportunistische virale Enzephalitis?
- PML?
- IRIS* nach Plasmapherese?
* Das Immunrekonstitutionssyndrom, kurz IRIS, ist eine überschießende Entzündungsreaktion, die Wochen bis Monate nach Beginn einer hochaktiven antiretroviralen Therapie einsetzt.
AUFLÖSUNG FALL 1
Diagnose: NMOSD
AQP4-IgG: stark positiv
MOG-IgG: nicht bestimmt (noch nicht möglich)
Conclusio: Einige MS-Therapien, u. a. Natalizumab, können NMOSD verschlechtern, schlechter Langzeitverlauf
Fall 2
25-jährige Studentin mit progredienter ataktischer Gangstörung und Paraparese der unteren Extremitäten
vor 10 Monaten
- nach fieberhaftem Infekt Taubheitsgefühl in Fingern und Unterarm links
vor 8 Monaten
- Verschwommensehen – rechts > links
- Kopf- und Rückenschmerzen
- cMRT: opB
- MRT-Halswirbelsäule: 1 Kontrastmittel+Herd
- LP: OKB* grenzwertig, sonst opB
- VEP** opB
- Besserung nach Steroidpuls
- Verdacht auf MS
- Immuntherapie wurde abgelehnt
- Wiederaufnahme des Studiums
vor 3 Monaten
- neu Lhermitte
vor 2 Monaten
- neu Nykturie
- imperativer Harndrang
- jeweils keine Arztvorstellung
vor 10 Monaten
vor 8 Monaten
vor 3 Monaten
vor 2 Monaten
- nach fieberhaftem Infekt Taubheitsgefühl in Fingern und Unterarm links
- Verschwommensehen – rechts > links
- Kopf- und Rückenschmerzen
- cMRT: opB
- MRT-Halswirbelsäule: 1 Kontrastmittel+Herd
- LP: OKB* grenzwertig, sonst opB
- VEP** opB
- Besserung nach Steroidpuls
- Verdacht auf MS
- Immuntherapie wurde abgelehnt
- Wiederaufnahme des Studiums
- neu Lhermitte
- neu Nykturie
- imperativer Harndrang
- jeweils keine Arztvorstellung
vor 10 Monaten
vor 8 Monaten
vor 3 Monaten
vor 2 Monaten
- nach fieberhaftem Infekt Taubheitsgefühl in Fingern und Unterarm links
- Verschwommensehen – rechts > links
- Kopf- und Rückenschmerzen
- cMRT: opB
- MRT-Halswirbelsäule: 1 Kontrastmittel+Herd
- LP: OKB* grenzwertig, sonst opB
- VEP** opB
- Besserung nach Steroidpuls
- Verdacht auf MS
- Immuntherapie wurde abgelehnt
- Wiederaufnahme des Studiums
- neu Lhermitte
- neu Nykturie
- imperativer Harndrang
- jeweils keine Arztvorstellung
vor 10 Monaten
vor 8 Monaten
vor 3 Monaten
vor 2 Monaten
- nach fieberhaftem Infekt Taubheitsgefühl in Fingern und Unterarm links
- Verschwommensehen – rechts > links
- Kopf- und Rückenschmerzen
- cMRT: opB
- MRT-Halswirbelsäule: 1 Kontrastmittel+Herd
- LP: OKB* grenzwertig, sonst opB
- VEP** opB
- Besserung nach Steroidpuls
- Verdacht auf MS
- Immuntherapie wurde abgelehnt
- Wiederaufnahme des Studiums
- neu Lhermitte
- neu Nykturie
- imperativer Harndrang
- jeweils keine Arztvorstellung
* Oligoklonale Banden (Abkürzung: OKB) spielen in der Diagnostik des Nervenwassers eine Rolle.
** Abkürzung für "Visuell evozierte Potentiale"
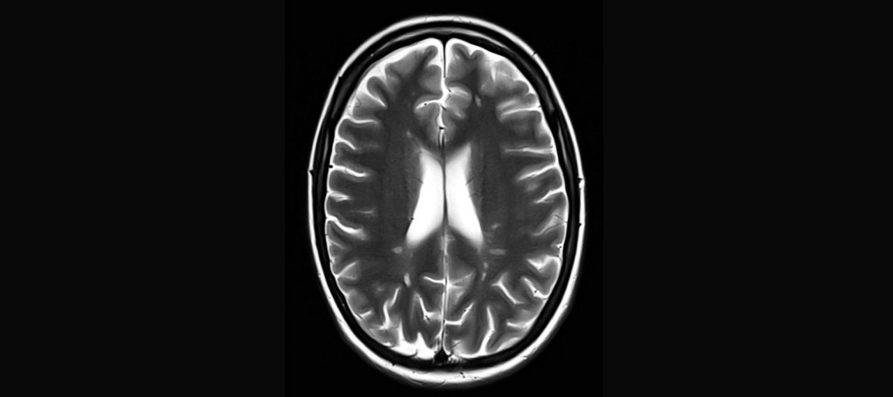
Abb.1: Periventrikuläre Läsionen in T2
Abb.2: T1+KM
Abb.3: PD
Herd im cervikalen Myelon: kurzstreckig, ungefähr 1 cm groß
Befund:
- deutliche ataktische Gangstörung
- Hüftbeugerparese beidseitig
- Hypästhesie untere Extremität rechts
- EDSS 4.0
Therapie bei Verdacht auf Schub
- 3x1g Methylprednisolon (MP)
- Keine Verbesserung, sondern weitere Progredienz der Ataxie, ebenso unter 3x2g MP
- EDSS 6.0
Abb.4: T1 + KM
Herd im cervikalen Myelon: kurzstreckig, ungefähr 1 cm groß
Befund:
- deutliche ataktische Gangstörung
- Hüftbeugerparese beidseitig
- Hypästhesie untere Extremität rechts
- EDSS 4.0
Therapie bei Verdacht auf Schub
- 3x1g Methylprednisolon (MP)
- Keine Verbesserung, sondern weitere Progredienz der Ataxie, ebenso unter 3x2g MP
- EDSS 6.0
AUFLÖSUNG FALL 2
Diagnose: MS
Schubtherapie
- 6 Zyklen Immunadsorption
- multimodale Rehabilitation
- Besserung der Gangqualität
- EDSS 4.0
Immuntherapie
- Start Ocrelizumab
- nach 2 Jahren schubfrei
- EDSS 4.0
AQP4-IgG: negativ
MOG-IgG: negativ
Conclusio: Auch bei MS kommen protrahierte Schübe und fehlendes Ansprechen auf Steroide vor
Die „Red Flags“ der NMOSD
Bei einer vermeintlichen MS ist es wichtig, immer auch an eine NMOSD zu denken. Eine frühzeitige Diagnose der NMOSD ist besonders entscheidend, da sie unbehandelt oder unzureichend behandelt eine ungünstigere Prognose hat als die MS. Bei der/einer NMOSD liegt nach 10 Jahren häufig eine beträchtliche Behinderung vor. Bestimmte „RedFlags“ können auf das Vorliegen einer NMOSD aufmerksam machen:1
Diagnosekriterien der NMOSD
Die Diagnose einer NMOSD wird anhand der 2015 revidierten Kriterien des International Panel for NMO Diagnosis (IPND), die in seropositive (AQP4-Ak-seropositiv) und seronegative NMOSD (AQP4-Ak-seronegativ) unterscheiden, gestellt.2 Bei der AQP4-Ak-seropositiven Form ist der Nachweis von AQP4-Ak bei Vorliegen eines der 6 klinischen Kernkriterien für die Diagnose einer NMOSD ausreichend. Für die Diagnose der seronegativen NMOSD müssen zusätzliche klinische und neuroradiologische Befunde nachgewiesen worden sein.2
Zur Identifikation einer NMOSD können zusätzlich einige Kriterien, die eine Unterscheidung zwischen MS und NMOSD erlauben, herangezogen werden.
Wichtige Differenzialdiagnosen
Neuroimaging Nowadays in MS
Tauchen Sie ein in die Theorie von Neuroradiologie und MS auf einer globalen Online-Plattform mit renommierten internationalen Referenten:
Neuroimaging
- https://pubmed.ncbi.nlm.nih.gov/26092914/
- Wingerchuk DM et al. International consensus diagnostic criteria for neuromyelitis optica spectrum disorders. Neurology 2015; 85: 177-189
